|
Because
viruses do not exhibit all the seven characteristics of life
when
unattached to a host cell, it is debatable whether or not
they are truly living entities. However, they may have a
severe impact on the health of the cells they get into, by degrading
the cells' ability to thrive. This is known as infection.
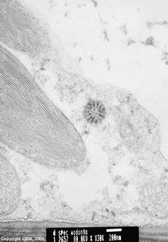
Viruses are much smaller than bacteria, and an electron microscope
has to be used to view them. Viruses range from 10
to 800 nanometers (0.000000001 to 0.00000008 mm) in length,
while normal bacteria are around ten
times that size. Viruses tend to be specialized entities
that are species specific. However, they frequently jump
the species barrier with devastating effect. Influenza viruses,
for instance, derive from bird and pig viruses. Viruses
can attack all three domains of life.
Influenza
Influenza virus is probably the best known and most common virus
among the human population. It mutates at an alarming rate
and new strains appear on an annual basis. The occurrence
of influenza peaks with the northern winter. This is because
the population in the northern hemisphere is larger than that
in the south and human habits - being indoors in warm damp conditions
with lots of other people and then being outdoors in the cold
- promote the spread of the disease. Once a person has had
a particular strain they are immune to that strain subsequently.
Sometimes this immunity extends to being effective or partially
effective against future strains, but usually new strains of influenza
are able to attack anyone. The disease has many symptoms.
Some or all of these may occur: high temperature, fever,
nausea, runny nose, sore throat, cough, congestion of the lungs
and airways. In old people in particular, it can lead to
serious respiratory diseases and secondary infections such as
pneumonia, and this can kill.
Influenza
viruses originate largely in the bird population. In the
wild, such viruses can spread quickly when migratory birds gather
for mating or flying to summer or winter habitats. But this
does not explain how the virus enters the human population.
The answer is that generally, it "leaps the species gap" in domestic
birds such as chickens. In addition, some strains of influenza
are known to have originated as hybrid chicken-pig viruses.
Very often new influenza strains seem to originate in the Far
East, where domestic fowl, pig and human populations are numerous
and often live in close proximity to one another.
Pandemic
The world's worst influenza epidemic occurred in 1919 just
after the First World War. It killed nearly 22 million people,
which was more than the war did! It was unusual in that
the death toll was greatest among younger people, rather than
the elderly, as normally occurs. It has been speculated
that immunity picked up by the older population in the 1880's
or 1890's had been partially effective.
|
|